إذا كنت تبحث عن ابتسامة بيضاء دائمة المظهر وذات مظهر طبيعي والتي تدوم طويلاً وتخطف القلوب، فبالتأكيد تتساءل ما الفرق بين الفينير واللومينير حيث يقدم كل من الإجراءين طريقة ممتازة لتحسين ابتسامتك، ولكن الخيار الأفضل لك يعتمد على احتياجاتك وأهدافك المحددة، في عيادة كلينيكا أكبر عيادة اسنان فى مصر نحن هنا لمساعدتك في تحديد الأفضل لك.
ماهو فينيرز الاسنان؟
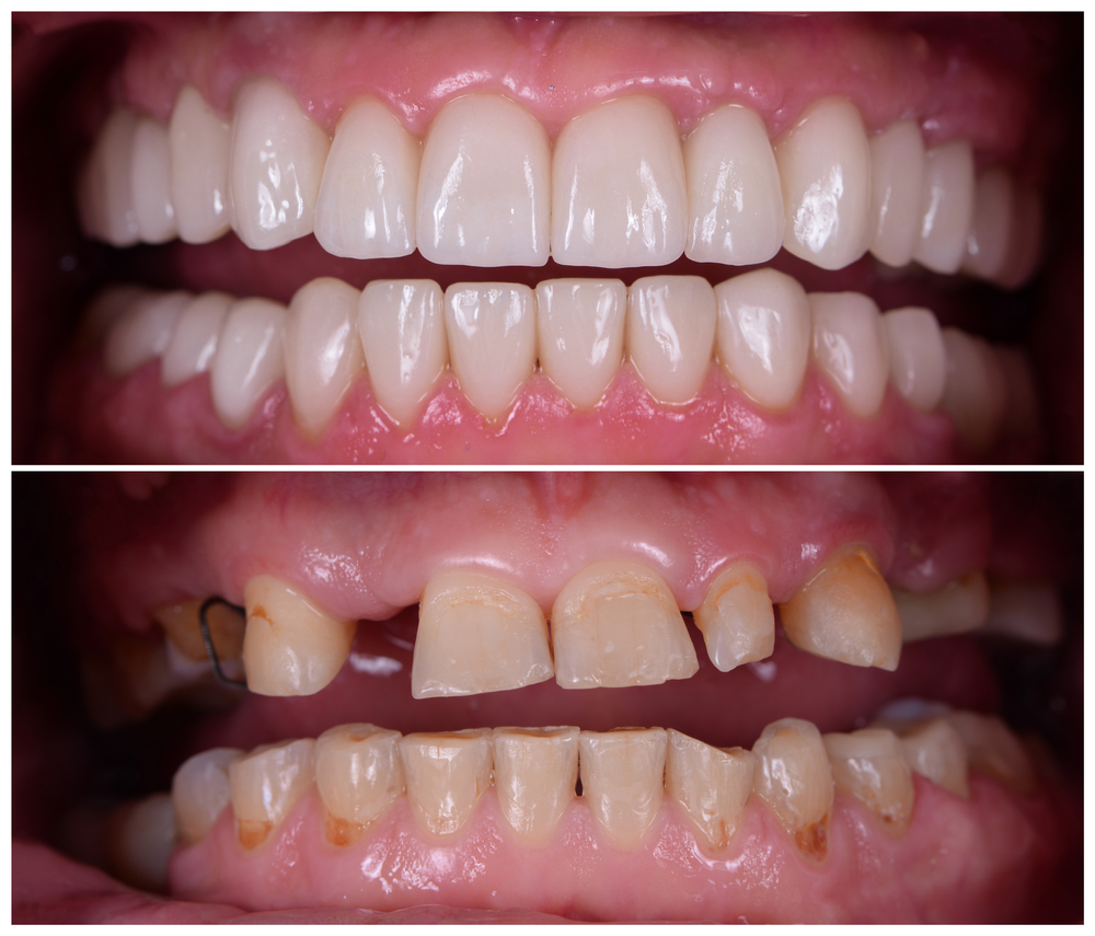
الفينير هو طبقة تجميلية رقيقة يتم تصنيعها خصيصًا لتغطي السطح الأمامي للأسنان، مما يمنحها مظهرًا مثاليًا وطبيعيًا. تُصنع عادةً من البورسلين أو الكمبوزيت، حيث تتميز بخفة وزنها وقوتها الفائقة، مما يجعلها تدوم لسنوات طويلة مع العناية الجيدة.
ماهى خطوات تركيب الفينير؟
- الاستشارة والفحص – يحدد طبيب الأسنان إذا كان الفينير مناسبًا لك بناءً على حالة أسنانك.
- تحضير الأسنان – يتم إزالة طبقة رقيقة جدًا من مينا الأسنان لضمان ثبات الفينير بشكل مثالي.
- أخذ القياسات – يتم تصميم الفينير خصيصًا ليتناسب مع أسنانك بدقة عالية.
- التثبيت النهائي – يتم لصق الفينير بمادة قوية تمنحه صلابة تدوم طويلاً.
ماهو لومينير الاسنان؟
اللومينير هو نسخة متطورة من الفينير التقليدي، لكنه يختلف بكونه أرق وأخف وزنًا، حيث يتم تصنيعه من طبقات فائقة النحافة من البورسلين عالي الجودة، مما يجعله أقل سمكًا ولا يتطلب برد الأسنان كما هو الحال مع الفينير العادي.
كيف يتم تركيب اللومينير؟
- استشارة الطبيب – يتم فحص الأسنان والتأكد من أن اللومينير هو الخيار المناسب لك.
- أخذ القياسات – يتم صنع قشور اللومينير وفقًا لحجم أسنانك ولونها الطبيعي.
- التثبيت بدون ألم – يتم لصق اللومينير على الأسنان دون الحاجة لنحت المينا، مما يجعله إجراءً مريحًا وسريعًا.
من هم المرشحون المثاليون للومينير؟
✅ من يريدون تحسين لون الأسنان والتخلص من التصبغات.
✅ من يعانون من فراغات بين الأسنان ويريدون إغلاقها بسهولة.
✅ من لديهم أسنان غير متناسقة أو صغيرة الحجم.
✅ من يبحثون عن ابتسامة مشرقة دون إجراءات معقدة.
الفروق الرئيسية بين الفينير واللومنيرز
على الرغم من أن الفينير واللومنير يتشاركه في العديد من المميزات فإن الاختلافات الرئيسية تكمن في كيفية تطبيقها وسمكها والآثار المحتملة على أسنانك الطبيعية وسوف نوضحها في النقاط التالية:
- السُمك
الفينير: تبلغ سماكة القشور التقليدية حوالي 0.5 ملم إلى 1 ملم، وهي أكثر سماكة من القشور اللومينير.
اللومينير: عبارة عن عدسات رقيقة للغاية، سمكها حوالي 0.2 مم
- درجة اللون
الفينير: نظرًا لسمكها تعتبر أكثر تعتيمًا من اللومينير وفي الحالات الشديدة قد تتطلب طبقة معتمة أسفلها لإخفاء كمية ترميم الأسنان أو تغير اللون الشديد
اللومينير: اللومينير هو عبارة عن طبقات من البورسلين الرقيقة للغاية ذات شفافية عالية لا يمكنها إخفاء تشوهات الأسنان الشديدة تحتها لأنها تعكس ظلال مينا الأسنان، وتعتبر أعلى ترميم شفاف للأسنان يغطي الأسنان الأمامية.
- إزالة الأسنان
الفينير: بسبب سمكها فإن كمية بنية الأسنان التي يتم إزالتها أو حلقها أثناء تحضير الأسنان تكون أكبر من تحضير الأسنان اللومنير.
اللومينير: اللومينير السني هو لومينير رقيق للغاية ويتطلب إزالة الحد الأدنى من الأسنان وهو أكثر تحفظًا من اللومينير الذي لا يتطلب في معظم الحالات إزالة الأسنان على الإطلاق، ويسمى (لومينير بدون تحضير )
- النتائج الجمالية
الفينير: الفرق بين الفينير واللومينير أن الفينير يستخدم أكثر للعديد من حالات التشوهات السنية مثل الأسنان المتسوسة بشدة وعلاج سوء المحاذاة على نطاق واسع وتغير اللون ولهذا السبب فهي الحل الأكثر تطبيقًا في معظم الحالات.
لكن تعتبر حالات استخدام اللومينير محدودة للغاية بسبب سمكها الشفاف الرقيق للغاية الذي لا يمكنه إخفاء الكثير من التشوهات السنية مثل قشور الأسنان التقليدية، لذا فإن حالات استخدامها الأكثر شيوعًا هي: تغير اللون الخفيف إلى المتوسط والبقع البيضاء بعد العلاج التقويمي الفراغات الصغيرة وإغلاق الفجوة، والأسنان الأمامية المتشققة والمقطعة.
- المتانة
الفينير: عبارة عن أطقم أسنان صناعية متينة للغاية تدوم طويلاً وهي أكثر متانة من اللومينير مع قوة عالية في الكسر والاحتفاظ، ويمكن أن تدوم لمدة 15-20 عامًا مع نظافة الفم الجيدة والفحوصات السنية المنتظمة والرعاية المناسبة.
اللومينير: اللومينير هو أيضًا ترميم طويل الأمد يصل إلى 10-15 عامًا مع تجنب أي تمزق أو قوة قص والحفاظ على نظافة الفم الجيدة.

ما هي مميزات الفينير؟
- يمكن تخصيص الفينير لتناسب كل سن، مما يؤدي إلى مظهر طبيعي.
- إنها متينة بشكل عام وستدوم لفترة طويلة إذا تم العناية بها بشكل صحيح، تتمتع بعض المواد أيضًا بمقاومة للبقع.
- يمكن استخدام القشور لتصحيح العديد من المشاكل الجمالية مثل تغير اللون أو اعوجاج الأسنان.
- إن تقنية وضع الفينير راسخة وتوفر نتائج يمكن التنبؤ بها.
ما هي عيوب الفينير؟
- غالبًا ما يتطلب الأمر طحنًا خفيفًا للأسنان مما يسبب تغييرات لا رجعة فيها في الأسنان.
- يمكن أن تكون الفينير الأسنان باهظة الثمن، خاصة إذا كانت هناك حاجة إلى علاج عدة أسنان.
- يحتاج إلى رعاية منتظمة، بما في ذلك استخدام خيط تنظيف الأسنان الخاص وزيارات طبيب الأسنان المنتظمة.
ما هي مميزات اللومينير؟
- غالبًا لا يحتاج إلى إزالة جزء من مينا الأسنان مما يجعل العملية أقل تدخلاً.
- توفر اللومينير مظهرًا شفافًا ويمكنها خلق مظهر طبيعي للغاية.
- نظرًا لأن التحضير المطلوب أقل، يمكن أن يكون العلاج أسرع من القشور التقليدية.
- يمكن إزالة اللومينير دون الإضرار بمينا الأسنان.
ما هي عيوب عدسات اللومينير؟
- قد تكون الطبقة الرقيقة للغاية من اللومينير أقل متانة من القشور التقليدية وقد تكون أكثر عرضة للتلف.
- يتم عادةً استخدام أحجام موحدة، مما قد يحد من التعديل الفردي.
- على الرغم من أنها قد تكون أرخص قليلاً من القشور، إلا أن اللومينير قد تكون باهظة الثمن خاصة إذا كانت هناك حاجة إلى علاج عدة أسنان.

هل اللومينير أفضل من الفينير؟
لا يمكن قول أن اللومينير أو الفينير أفضل لأن ذلك يعتمد على عدة عوامل تختلف من شخص لأخر، وفيما يلي قائمة بالمعايير التي تساعدك في اتخاذ القرار:
- حالة أسنانك
إذا كنت تعاني من عيوب تجميلية كبيرة مثل تغير اللون الشديد أو الحواف المتشققة أو الأشكال غير المتساوية في هذه الحالة يكون الفينير أكثر ملاءمة.
لكن إذا الأسنان بحالة جيدة بشكل عام ولكنها تحتاج إلى تحسين بسيط في المظهر الجمالي قد يكون اللومينير هو الأفضل.
- الالتزام الطويل الأمد
إذا كنت تريد إجراء لا دائم لا يمكن الاستغناء عنه يمكن التفكير في الفينير ، أم إذا كنت تريد التراجع عن القرار دون حدوث آثار طويلة المدى على الأسنان الطبيعية في أي وقت توفر قشور اللومينير هذه المرونة.
- التفضيلات الجمالية
يوفر الفينير خيارات تخصيص واسعة ويمكنها تغيير مظهر الأسنان بشكل جذري، ولكن تعتبر قشور اللومينير أرق وأقل وضوحًا.
- الميزانية
عادة ما تكون قشور اللومينير أكثر تكلفة من الفينير بسبب المواد المستخدمة وتقنية التطبيق الأقل تدخلاً.
- الحساسية والراحة
إزالة مينا الأسنان في الفينير قد تؤدي إلى زيادة حساسية، لكن في حالة اللومينير لا تحتاج إلي إزالة مينا الأسنان وبالتالي لا يتسبب هذا الإجراء في حساسية.
في النهاية، وبعد التعرف على الفرق بين الفينير واللومينير التى تعتبر من الحشوات التجميلية للأسنان التى يعتمد اختيارك على احتياجاتك الفردية حيث يوفر الفينير حلاً لمشكلات جمالية واسعة النطاق، أما اللومينير هي خيار ممتاز لأولئك الذين يفضلون خيارًا أقل تدخلاً، وفي عيادة كلينيكا نوفر لك كل من الإجراءين وسوف يساعدك الطبيب في اختيار الأفضل لك بعد الكشف على أسنانك قم فقط بالحجز معنا في أقرب وقت.
إقرأ أيــضاً :متى يحتاج المريض إلى إجراء حشو العصب

