الابتسامة الجميلة هي عامل هام في تعزيز الثقة، ولكن للأسف لا يتمتع الجميع بأسنان مثالية بطبيعتهم، ويعد فينير الأسنان من الحلول المثالية لتحسين الابتسامة وإخفاء عيوبها، إذا كنت تفكر في الحصول على هذه القشور فسيساعدك هذا الدليل المقدم من مركز كلينيكا أفضل مركز لتركيب الفينير وتجميل الأسنان على فهم العيوب والمزايا والأنواع والعديد من المعلومات الهامة الأخرى.
ما هو فينير الأسنان؟
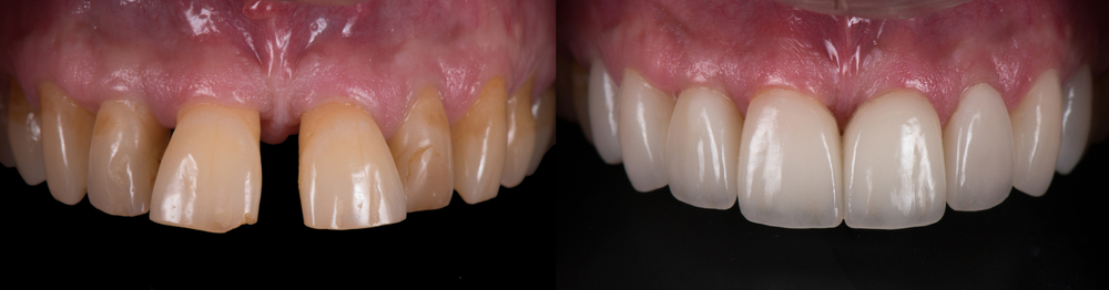
قشور الأسنان هي عبارة عن طبقات رقيقة من مواد مخصصصة مثل البورسلين أو الراتنج المركب وتُصنع لتلائم الأسطح الأمامية للأسنان وتحسن مظهرها العام، في معظم الحالات تُصحح هذه القشور مشاكل مختلفة بما في ذلك تغير اللون والتشققات والفجوات وعدم محاذاة الأسنان.
كيف يتم تركيب ڤينير الأسنان؟
يتم تركيب الفينير على عدة مراحل وهي كتالي:
- تحضير الأسنان
يتم تحضير الأسنان بإزالة جزء صغير من السطح الأمامي للسن حوالي 0.3 إلى 0.5 مليمتر، ثم يأخذ طبيب الأسنان مقاس دقيق للاسنان، ويستخدمها فني المختبر لصنع قشور الأسنان.
بعد تحضير أسنانك وقبل تركيب القشور ستشعر بخشونة وغرابة في مظهرها، لذلك عادةً يضع طبيب الأسنان قشورًا مؤقتة على أسنان.
وفي حالة عدم تركيب قشور مؤقتة فاحرص على تنظيف أسنانك جيدًا لأنها قد تصبغ بسهولة أكبر في هذه المرحلة كما أنها ستكون حساسة جدًا للهواء والبرد، ومن الضروري الحفاظ على صحة اللثة في هذه المرحلة.
- تجربة الفينير
هنا يقوم الأطباء المحترفين بتجربة الفينير حتى تتلائم معك، ومن المهم التأكد أثناء التجربة من أن القشرة تلبي توقعاتك يجب إجراء جميع التغييرات باستثناء التقصير والتشذيب البسيط أثناء مرحلة التجربة.
- التركيب
هنا يقوم الطبيب المحترف بتثبيت القشور بطريقة احترافية والنتيجة النهائية ترميمٌ متينٌ وجميلٌ يدوم لسنواتٍ بل عقود ويُصبح جزءًا لا يتجزأ من سنك.
من هم الأشخاص المؤهلين للحصول على ڤينير الأسنان؟
عادةً يمكن معالجة أي مشكلة تتعلق بالمظهر التجميلي لأسنانك باستخدام هذا الإجراء ويستطيع أطباء الأسنان بسهولة تعديل لون وشكل وطول أسنانك بالإضافة إلى الفراغات بينها وتحديدًا، قد تساعد قشور الأسنان الأشخاص التي تعاني من المشاكل التالية:
- الأسنان المهترئة أو المتشققة أو المكسورة
- الأسنان الملطخة أو المتغيرة اللون
- أسنان غير متساوية أو مشوهة الشكل
- فجوات واسعة بين الأسنان
مميزات وعيوب فينير الاسنان
تحمل عملية تركيب الفينير الكثير من المميزات ومع ذلك مثل أي إجراء فهي تحمل يعض العيوب وسوف نوضح كل من المميزات والعيوب في السطور التالية.
مميزات فينير الأسنان
فيما يلي مميزات فينير الأسنان تشمل:
- تحسين المظهر الجمالي حيث تعمل القشور على تحسين لون وشكل ومحاذاة الأسنان، مما يمنحك ابتسامة خالية من العيوب.
- يمكن أن تدوم قشور البورسلين لمدة 10-15 عامًا مع العناية المناسبة.
- على عكس الأسنان الطبيعية، تقاوم قشور البورسلين البقع الناتجة عن القهوة والشاي والتدخين.
- تساعد عملية تنظيف الأسنان بالفرشاة والخيط بشكل روتيني في الحفاظ على قشور الأسنان لسنوات.
عيوب فينير الأسنان
إلى جانب المزايا مثل تحسين المشاكل التجميلية وإضفاء ابتسامة مشرقة بشكل طبيعي، فإن قشور البورسلين لها بعض العيوب مثل:
- بعض الأنواع عالية التكلقة مثل قشور البورسلين.
- لا يمكن إصلاحها إذا كانت متشققة لذا فهي تتطلب صيانة عالية.
- عند تركيب الفينير تُزال طبقة المينا، ما قد يُؤدي إلى زيادة حساسية أسنانك للأطعمة والمشروبات الساخنة والباردة.
- في بعض الحالات، قد يكون لون القشور مختلفًا عن لون أسنانك الحقيقية، وهو أمر يصعب إصلاحه إلى حد كبير ولكن في مركز كلينيكا يقوم أطبائنا باختيار االلون بدقة حتى يتناسب معك.
- مع أن هذا نادر إلا أنه من الممكن أن تتقشر قشور الأسنان وتتساقط، لذلك يجب تجنب قضم أظافرك أو أقلامك، أو مضغ مكعبات الثلج أو أي أشياء صلبة أخرى.
- بعد هذا الإجراء قد تبقى لديك فرصة للإصابة بالتسوس، لذا يُنصح بتغطية أسنانك بالكامل بتيجان الأسنان إن أمكن.
- لا تعد القشور خيارًا جيدًا لأولئك الذين يعانون من صحة أسنان سيئة مثل وجود (تسوس أو أمراض اللثة) أو أسنان ضعيفة أو مينا غير كاف على سطح الأسنان.
ما هي التعليمات التي يجب اتباعها بعد تركيب فينير الأسنان؟
تعتمد مدة بقاء القشور بشكل كبير على مدى اهتمامك لذلك يجب عليك أن تهتم بها قدر المستطاع لذلك ينصح باتباع التعليمات التالية:
- نظّف أسنانك بالفرشاة والخيط بانتظام، الحفاظ على نظافتها هو أفضل ضمان لك لاستمرار الفينير لأطول فترة ممكنة.
- تجنب تناول الوجبات الخفيفة بشكل متكرر، مما يؤدي إلى تسوس الأسنان.
- قم بحمايتهم من خلال عدم عض الأشياء المعدنية، وارتداء واقي الفم أثناء ممارسة الرياضات التي تتضمن الاحتكاك الجسدي.
- فرشاة الأسنان الصوتية الاهتزازية ممتازة للعناية بقشور البورسلين.
- زيارة طبيب الأسنان بشكل مستمر للتأكد من سلامة الفم.

أفضل أنواع ڤينير الأسنان
في مجال طب الأسنان تتوفر العديد من أنواع الفينير وتتأثر متانة القشور وجماليتها بمادة القشور، كما أن كل نوع من أنواع القشور يناسب ظروفًا ومتطلبات محددة ومن أفضلها مايأتي:
- ڤينير البورسلين
قشور البورسلين من أشهر الأنواع وتتكون من الفلسبار وهو سيراميك زجاجي طبيعي، ويعود المظهر الطبيعي لبورسلين الفلسبار إلى شفافيته وهشاشته، أيضاً يتميز هذا النوع بمقاومة عالية للكسور والبقع وتغير اللون، كما أنها أكثر متانة من الأنواع الأخرى، فهي الخيار الأمثل للراغبين في الحصول على أسنان دائمة ذات مظهر طبيعي فهي تدوم من 8 إلى 15 عامًا، كما أنها مقاومة للبقع.
- ڤينير الراتنج المركب
يمكن استخدام هذا النوع كبديل للبورسلين نظرًا لسرعة تصنيعها ورخص تكلفتها، فهو يتكون من الراتنج، وهو مكون بلون الأسنان يُستخدم لإصلاح الأسنان، والجدير بالذكر أن نسبة نجاح قشور الأسنان المركبة أعلى عند استخدامها على الأسنان الأمامية، تتميز قشور الأسنان المركبة بعمر افتراضي قصير وهي أكثر عرضة للبقع والتشقق والتآكل من قشور البورسلين.
- عدسات الأسنان اللومينير
اللومينير هو نوع مميز حيث يمكن اجراؤه في زيارة واحدة ويتطلب تحضيرًا بسيطًا للأسنان، ويُعرف أيضًا باسم القشور غير التحضيرية وهي قشور صغيرة ومضغوطة تُثبّت برفق على الأسنان لتحسين مظهرها المتداعي، يُعتبر اللومينير علاجًا مؤقتًا للأسنان المتشققة أو المشوهة أو متغيرة اللون.
كمتا يُعد خيارًا ممتازًا لمن يرغبون في تركيب عدسات أسنان لتحسين ابتسامتهم دون إجراءات جراحية.
- إي ماكس
يعد هذا النوع من أكثر أنواع القشور شيوعًا، وهي حاليًا من أجود الأنواع بفضل جمالها الطبيعي ومتانتها ومتانتها، بفضل شفافيتها تندمج مع أسنانك الطبيعية، يمكن استخدام هذا النوع للمرضى الذين يرغبون في أسنان تدوم طويلًا ومقاومة للبقع وذات مظهر طبيعي.
هل الڤينير يناسب جميع أنواع الأسنان؟
تعد قشور الأسنان من العلاجات متعددة الاستخدامات ولكنها غير مناسبة لجميع مشاكل الأسنان، فهي تساعد في علاج البقع والفجوات الفراغات بين الأسنان والتشققات البسيطة ولكنها لا تقوم بحل المشاكل الحادة للأسنان
هل يمكن للقشور السنية معالجة جميع مشاكل الأسنان؟
قشور الأسنان متعددة الاستخدامات، لكنها ليست حلاً شاملاً لجميع مشاكل الأسنان. فبينما يمكنها تغطية عيوب الأسنان بفعالية، كالفجوات والبقع والتشققات البسيطة، إلا أنها غير مناسبة لعلاج مشاكل الأسنان الحادة. على سبيل المثال، قد تكون علاجات تقويم الأسنان، كالأقواس المعدنية أو التقويم الشفاف، أنسب إذا كانت أسنانك غير مصطفة أو بها فجوات كبيرة. وبالمثل، قد توفر علاجات الأسنان الأخرى، مثل تركيب تيجان الأسنان، حمايةً ووظيفةً أفضل في حال تعرض السن لكسر أو ضعف شديد.
كيف تختار الطبيب المناسب لتركيب الڤينير؟
من أهم عوامل نجاح هذا الإجراء هو اختيار طبيب ماهر وذو خبرة كبيرة في مجال طب الأسنان، لذلك من المنطقي أن تبحث عن طبيب ممتاز للقيام بهذا الأمر ويمكنك اختيار الطبيب المناسب عن طريق النصائح التالية:
المراجعات: أفضل طريقة لمعرفة مدى مصداقية طبيب أسنان تجميلي أو عيادة هي قراءة تقييمات الأشخاص الذين سبقوك في اختيارهم.
الصور الفوتوغرافية: قم بالبحث عن صور حقيقة للمرضى السابقين للتأكد من أن النتائج جيدة.
الاستشارة: ابحث عن طبيب يقوم بتقديم خدمة الاستشارة حتى يقوم بالرد على جميع استفساراتك قبل البدء في العلاج، وذلك لضمان اتخاذ القرار الأفضل.
اختيار مركز أسنان ذو سمعة طيبة: عندما تختار مركز ذو سمعة طيبة فهذا يضمن لك أن يتم علاجك على يد أطباء ماهرين يحصلون على تدريب مستمر لمواكبة أحدث التقنيات، وهذا ما نوفره لك في مركز كلينيكا حيث نهتم بالاستعانة بأطباء ذو خبرة عالية في جميع مجالات طب الأسنان.
ما هي أسعار فينير الأسنان في مصر؟
لا يمكن تحديد أسعار الفينير في مصر بشكل دقيق حيث تختلف الأسعار وفق نوع الفينير وحالة الأسنان والعديد من العوامل الأخرى، ولكن في مركز كلينيكا نقدم لك أسعار تنافسية بجودة عالية.
في النهاية تذكر أن أهم شيء للحصول على إبتسامة مناسبة هو إجراء بحثك، والنظر في جميع خياراتك وتذكر أنه لا توجد ابتسامة واحدة تناسب جميع الحلول، لذلك تريد العمل مع طبيب أسنان تجميلي وفريق ذو خبرة سيقوم بتخصيص فينير الأسنان لتناسب وجهك وتفضيلاتك وأهدافك الجمالية لمظهرك.
إذا أردت تصميم وإختيار إبتسامتك بأفضل سعر فى مصر إحجز مع عيادات كلينيكا للأسنان
إقرأ أيضــــاً: عملية تجميل الاسنان تغنيك عن التقويم والجراحة

